医学文档阁  > 所属分类  >  疾病百科   
[0]

疣状癌

状癌(verrucous carcinoma)1948年由Ackeman首先报告本病,为高角质化鳞状细胞癌,本病的诊断需靠此的临床、镜下态以及生物为判断。肿生长缓慢,最初呈外生性状和蕈样肿,最后侵入深部组织状癌(verrucous carcinoma):少见,占喉癌1%~2%。癌组织要向喉腔生长成菜样肿块。镜下,呈乳头状结构,鳞状细胞分化较成熟,可见不同程度的局......
目录

疣状癌

状癌(verrucous carcinoma):少见,占喉癌1%~2%。癌组织要向喉腔生长成菜样肿块。镜下,呈乳头状结构,鳞状细胞分化较成熟,可见不同程度的局部浸润现象。大都不发生转移,手术局部切除效果良好。

症状

1、口腔状癌(verrucous carcinoma of the oral cavity)

又称口腔状乳头病(oral florid papillomatosis),1948年由Ackeman首先报告,本病罕见,仅占口腔恶性肿之4%~9%,其发生与烟草(特是咀嚼),槟榔口腔卫生不良和不适当的镶,好发生于男性老人,临床表现呈白色样损害,齿亦可受累,亦可侵入颊部和(或)颌

2、生殖器肛门区状癌(verrucous carcinoma of the genitoanal region)

亦称Buschke-Loewenstein巨大尖锐湿,1925年由Buschke和Loewenstein首先报告,大多数病例由HPV6或HPV11所起,本病占阴茎恶性肿之5%~25%,临床上呈菜样乳头样增生,最常见于男性龟头和未环切的包皮处,最后侵入尿道,也见于女阴及肛门区,损害可溃疡及漏管,常发臭味。

3、状癌(plantar verrucous carcinoma)

又称穿掘性上皮(epithelioma cuniculatum),病因不明,在已报告的13例部癌的浅表上皮中,电镜下5例找到病毒样颗粒,增生的细胞核抗原研究,亦提示其细胞类似巨大尖锐湿,大多数临床医师认为此肿为高角质化鳞状细胞癌,小量放射治疗慢性感染或炎症可能与本病的发生有,本病最初很像难治的跖疣,为隆起性团块,倾向于向深部穿透性生长成很多深隐窝,充以角质物和脓液,隐窝类似兔,故称为穿掘性上皮,肿最终可穿透筋膜,甚至可破坏和侵犯足皮肤。

检查

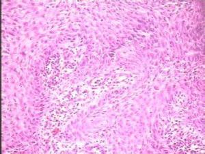
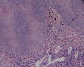
组织病理:大而深的活检为诊断本病所必需,其浅表部分一般与相似,表现为角化过度、角化不全和棘层肥厚。角质细胞分化良好,呈嗜酸性淡染、胞核小。呈宽索状侵袭,中央常有充以角蛋白的囊肿,大而呈珠状,向下增生压迫原束并将其挤向一侧。甚至在肿的深部亦无核的不典型性,个细胞角化和角珠。不过有些病例特口腔,偶尔也在生殖器肛门区和面处的状癌,最终也可表现核的非典型性和表皮失去极性而发展成真正的鳞状细胞癌。在罕见的情况下,口腔、生殖器和状癌,可见局部淋巴结转移。

诊断

本病的诊断,重要的在于活检取材要大而深,才能观察全貌而确定。临床上本病与典鳞癌及尖锐湿不易区,也应注意鉴假性上皮样增生,因此需要作仔细的病理检查。

用药治疗

治疗

切除为最好的疗法。有些病例需采用Mohs显微外科。放射疗法可起间变,不应采用。

预后

状癌,本病最初很像难治的跖疣,为隆起性团块,倾向于向深部穿透性生长成很多深隐窝,充以角质物和脓液。隐窝类似兔,故称为穿掘性上皮。肿最终可穿透筋膜,共至 可破坏和侵犯足皮肤。

附件列表


0

词条内容仅供参考,如果您需要解决具体问题
(尤其在法律、医学等领域),建议您咨询相关领域专业人士。

同义词

暂无同义词