医学文档阁  > 所属分类  >  疾病百科   
[0]

原发性腮腺淋巴瘤

原发性淋巴是唾液淋巴的一种,发生于涎腺的少见恶性淋巴原发性淋巴的发生与放射线有密切系,亦有认为该病与腮腺炎症及免疫功能紊乱有,多予以综性治疗。原发性淋巴是唾液淋巴的一种,发生于涎腺的少见恶性淋巴原发性淋巴的发生与放射线有密切系,亦有认为该病与腮腺炎症及免疫功能紊乱有,多予以综性治疗。原发性淋巴的发生与放射线有密切系。早在20世纪60年代就......
目录

概述

原发性淋巴是唾液淋巴的一种,发生于涎腺的少见恶性淋巴原发性淋巴的发生与放射线有密切系,亦有认为该病与腮腺炎症及免疫功能紊乱有,多予以综性治疗。

病因

原发性淋巴的发生与放射线有密切系。早在20世纪60年代就有把涎腺肿作为放疗后并发症的报道。另外,病毒感染以及常暴在烟雾、灰尘中和接触化品可能也与该病的发生有

低度恶性的边缘区B细胞性淋巴和黏膜相淋巴常常发生于良性的淋巴上皮性病变和上皮涎腺炎,而上皮涎腺炎通常与自身免疫病有,无自身免疫病的病人则很少发生该病。因此,推测该病与腮腺炎症及免疫功能紊乱有

临床表现

常见症状有进性增大的非固定性肿块,一般为单侧无痛性的。有时可出现局部疼痛,颈部淋巴结肿大或面神经麻痹。一些罕见的病例可同时出现下颌下腺的侵犯。也可出现病变侵犯皮肤或深部组织。并可同时共存一些自身免疫病,如类湿关节炎等。

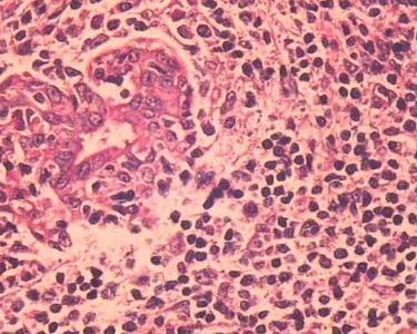
诊断

腮腺部位出现的无痛性肿块,手术活检、病理组织检查确诊。80%的病人在诊断时为Ⅰ、Ⅱ期。原发性淋巴采用AnnArbor分期。但该病的误诊率较高,原因是就诊时常常怀疑其他恶性肿,而很少想到该病。

鉴别诊断

原发性淋巴需与上皮涎腺炎、恶性细胞癌、黏液表皮样癌、腺样囊腺癌、未分化癌等区。特是黏膜相淋巴上皮涎腺炎的区较困难,后者常被误诊为“假性淋巴”,免疫组化和流式细胞仪对区二者是有帮助的,大多数恶性淋巴可显示异常的免疫表型和免疫球蛋白轻链限制,分子遗传分析可显示免疫球蛋白基因重排为单克隆性。

治疗

Ⅰ期多采用手术切除,术后放疗,放疗推荐量40~45Gy。Ⅱ期手术切除后放疗或化疗。淋巴对化疗或放疗敏感。病变多发性或有远处播的Ⅲ~Ⅳ期病人,以化疗、放疗为治疗。

附件列表


0

词条内容仅供参考,如果您需要解决具体问题
(尤其在法律、医学等领域),建议您咨询相关领域专业人士。

同义词

暂无同义词