医学文档阁  > 所属分类  >  疾病百科   
[0]

遗传性多发性骨软骨瘤

遗传性多发性骨瘤也称为多发性外生骨疣干端连续症、遗传性畸发育异常症。典型发病部位是股骨、胫腓骨的远近侧端及肱骨近侧端。临床表现为可触及的性肿块。本病无症状时无须处理,出现症状时,采取相应的治疗措施。遗传性多发性骨瘤亦称为多发性外生骨疣干端连续症、遗传性畸发育异常症等。前国外多数者采用遗传性多发性骨瘤这一称。(一)发病原因 确切病因不明。 (二)发病......
目录

简介

遗传性多发性骨瘤亦称为多发性外生骨疣干端连续症、遗传性畸发育异常症等。前国外多数者采用遗传性多发性骨瘤这一称。

病因

  (一)发病原因

  确切病因不明。

  (二)发病机

  1.大体检查 不同部位骨瘤的体积可相差较大,遗传性多发性骨瘤的病变常成多发性、对称性、病变由数量不一。位于长管状骨瘤,其最大径平均为4cm,在扁平或不规则骨瘤,个报道最大径可达40cm。带蒂的骨瘤管状蘑菇部表面光滑,也可呈结状。无蒂型骨瘤呈碟状,半球或菜状。肿的纵切面中,显示3层典型结构:①表层为管稀少的原结缔组织,与周围膜衔接并与周围组织。②中层为灰蓝色的透明软,即软帽盖,类似于正常的软,一般为几毫米厚。软帽厚度与病人年龄有,儿童及青少年,正处于生长活跃期,软厚度可达3cm;成年人软帽盖较薄,甚至可以缺如。软帽盖的厚薄与肿的发展有密切系:厚者表示发展,薄者代表成熟。成年骨瘤病人,如软帽盖超过1cm厚,说明肿在发展,应考虑有无恶变的发生。③基层为肿体,含有黄松质,外缘为皮质与正常相连。

  2.显微镜检查 要是检查骨瘤的软帽,生长骨瘤病人的软帽的组织表现类似于。常见如下情况:①在年轻病人肿细胞生长活跃,可见多数的双核软细胞。②当肿生长停止时,软细胞停止增殖,并出现退性变。③软生长紊乱时,软中可有钙质碎屑沉积。④当骨瘤发生恶性变时,常变为肉瘤。其组织像可见软的显著钙化化,软细胞具有不典型的细胞核

诊断

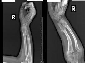
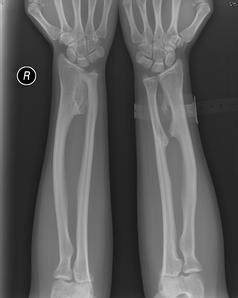
  本病男性多于女性,约为3∶1,多见于儿童至20岁左右者。多数病人有阳性家族史,作者医院即有父亲及两个女儿同时住院手术的病例。一般临床表现多为可触及的性肿块。由于骼短缩及弯而造成骼畸关节附近的肿块常可造成关节活动受限。遗传性多发性骨瘤的病变常成对称分布。病变的数量不一,多的有超过100个者。典型发病部位是股骨、胫腓骨的远近侧端及肱骨近侧端(图1,2)。明:如果在膝关节周围上没有外生骨疣,则遗传性多发性骨瘤的诊断不能成立。位于桡、尺骨远侧部的发病稍少些。与单发性骨瘤相比,遗传性多发性骨瘤更倾向于在、髂肋骨处发病。

  这种病的很大特点在于有成的缺陷和骼畸。特是在髋部可呈双侧髋外翻及股骨近侧端变宽(图3)。腕关节出现逐渐的尺骨偏斜、尺骨相对短缩等。

  依据病史、临床表现、多发性、对称性及X线检查,诊断不难。

检查

  无相实验室检查。

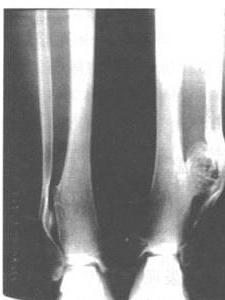
  普通X线检查:长干上骨瘤的X线特点是表面上有一性突起,与干骺相连,并由皮质及松质所组成。常成对称性,多发性。由于肿基底部状不同,常可分成有蒂(有一窄部较宽)及无蒂(基底宽而扁)两种(图4)。骨瘤常发生在干骺端韧带附着处,其生长趋向与韧带所产生力的向一致。如软帽薄,边界清楚,带有规则点状钙化,这种表现为良性生长。如软帽大且厚,边界不清楚、带有不规则的钙化,则应注意其恶性变的可能。

  骨瘤在手足短与长管状的X线表现相类似。值得注意的是在指、可有小的骨瘤存在,称为甲下骨疣

治疗

  (一)治疗

  无症状者不需处理。如有疼痛,肢体功能障碍者、发育,或有并症时,可做局部肿切除,矫正骨骼畸应待发育成熟之后进,以免畸复发。

  (二)预后

  如发生恶变可转化为肉瘤恶性纤维组织细胞肉瘤。一旦恶变应采取相应的治疗措施,以求治愈。

护理

{骨瘤患者术前护理法}

1、骨瘤患者术前理护理

由于骨瘤患者理负担重,而且肿较大,出量较大,危险性大,加之担手术成功率,术后功能恢复情况、费用、效果等的担忧而表现焦虑、恐惧,术前应向患者耐讲解,手术重要性和手术、麻醉的法及手术设备,鼓励家属给予理上的援助和生活上的,以增加病人的安全感。

2、认真做好骨瘤患者术前随访

指导骨瘤患者术前适当进半卧位的体位锻炼,以使患者适应体位的变化以及硬膜外麻醉中的体位配的注意事项。

3、骨瘤患者术前准备

进手术室前,要排空大小便。有贵重物品,在进手术室前交给病房护士长或亲属保管,不要带到手术室去;进入手术室时,要规定更换鞋子,戴上手术帽。

  {骨瘤患者术前护理法}

  1、骨瘤患者术前理护理

  由于骨瘤患者理负担重,而且肿较大,出量较大,危险性大,加之担手术成功率,术后功能恢复情况、费用、效果等的担忧而表现焦虑、恐惧,术前应向患者耐讲解,手术重要性和手术、麻醉的法及手术设备,鼓励家属给予理上的援助和生活上的,以增加病人的安全感。

  2、认真做好骨瘤患者术前随访

  指导骨瘤患者术前适当进半卧位的体位锻炼,以使患者适应体位的变化以及硬膜外麻醉中的体位配的注意事项。

  3、骨瘤患者术前准备

  进手术室前,要排空大小便。有贵重物品,在进手术室前交给病房护士长或亲属保管,不要带到手术室去;进入手术室时,要规定更换鞋子,戴上手术帽。

  {骨瘤患者术后护理法}

  1、保持流管通畅:流袋应低于创,观察并记录流液量及性质;

  2、疼痛的护理:疼痛严重影响患者的身,影响睡眠,不利于患者的恢复,积极止痛;

  3、生命症状:观察生命症状及创情况,尤其肢者;

  4、注意观察:观察手术肢体远端运,活动;

  5、注意卧床休息:尽可能不过多过早活动;

  6、饮食护理:手术后据患者情况暂食或流食半流食,之后鼓励患者进食高蛋白、高热量、高维他命和易消化的饮食,多吃水果、蔬菜,多饮水;

  7、功能锻炼:手术后3周,可做手术部位远近关节活动,但不负重。手术后6周。进浑身及重点关节的活动。渐渐加大力度。并可以理疗、按摩等;

  8、放化疗护理:放化疗患者应做好相应的护理,减少副反应;

  9、生活护理:家属应注意患者的洗淑和排便等生活护理。

饮食

  患者应当如何饮食?

  1、摄取含有丰富的蛋白质、氨基酸、高维生素、高养食物;

  2、多食用有利于毒物排泄和解毒的食物,如绿豆赤小豆冬瓜西瓜等。

  3、 宜多吃具有抗作用的食物:山羊血、蟹、羊脑海参、牡蛎、鳖、龟、沙虫、鹿血菜、麦、小苋菜、油菜籽、沙枣香芋、野葡萄

  4、宜吃具有止痛消肿作用的食物:芦笋、藕、慈姑、山楂獭肉鹭肉、蟹、海龟海蛇

  患者吃什么对身体不好?

  1、避免食用含有致癌物的食物如含亚硝酸盐类强烈致癌物的蔬菜,发霉食物,腌制、烟熏、烤、油食物;

  2、忌烟、。忌辛辣刺激性食物,如葱、蒜、姜、花椒辣椒桂皮等。

  3、忌肥腻食物。

附件列表


0

词条内容仅供参考,如果您需要解决具体问题
(尤其在法律、医学等领域),建议您咨询相关领域专业人士。

上一篇 金鸡豇豆

下一篇 金鸡纳

同义词

暂无同义词