医学文档阁  > 所属分类  >  疾病百科   
[0]

原发性骨淋巴瘤

原发性淋巴(primary bone lymphoma,PBL)是指病变仅限于骼系统,或周围软组织浸润,但无全身症状淋巴,这种疾病比较少见,仅占结外淋巴病变的5%,占原发性的7%。原发性淋巴(primary bone lymphoma,PBL)是指病变仅限于骼系统,或周围软组织浸润,但无全身症状淋巴,这种疾病比较少见,仅占结外淋巴病变的5%,占原发性的7%。1......
目录

概述

原发性淋巴(primary bone lymphoma,PBL)是指病变仅限于骼系统,或周围软组织浸润,但无全身症状淋巴,这种疾病比较少见,仅占结外淋巴病变的5%,占原发性的7%。

1928年,Oberling首先报道该种病例的发生1939年,Parker和Jackson研究了17例病例当时称之为“原发性网状细胞肉瘤”,并将之重新命原发性淋巴原发性淋巴的发病高峰是20世纪50年代左右。临床上多表现为局部的骼疼痛,或触及逐渐增大的肿块,在疾病后期出现病理骨折可伴有周围软组织肿胀疼痛一般无全身症状发热消瘦盗汗等CT或MRI可发现病变但需要局部的病变活检才能确诊。

:男性的发病率略大于女性,男女之比为1.6∶1平均发病年龄为46岁左右。本病在欧美较多见,中国少见,近年来始有报道。

病因

原发性淋巴早期的病理定义为网状细胞肉瘤,但随着对这类疾病的更多和更深一步的研究,最近修改的欧洲和美国的分类标准已将这种定义取消,认为大部分原发性淋巴病理表现为弥漫性大B细胞淋巴

据研究,在12例病例中,所有的肿细胞的表型均为CD45 和CD20+,8例为单克隆免疫球蛋白(6例IgG,2例IgM;7例κ和1例λ),另一项免疫表型的研究表明,弥漫性大无裂细胞性淋巴细胞和成熟B细胞抗原的反应是阳性,即免疫表型为CD19+,CD20+,CD22+,κ+或λ+,CD5-,CD10-,CD1-,CD2-,CD3-,CD4-,CD7-,CD8-,在大规模Mayo的临床研究中,75%的原发性淋巴是中度恶性(弥漫性混或大细胞性淋巴),其余均为低度或高度恶性肿,在另一研究中,27例病例中有21例为弥漫性大细胞性淋巴

因此,原发性淋巴病理类型为B细胞型,并多为弥漫性大细胞性,但由于PLB的发病率较低,各项统计资料的数量较少,仍需要进一步的研究。

症状

原发性淋巴的临床表现多种多样,一般仅表现为局部的病变,而无全身的症状,患者多述局部的骨痛,皮肤肿胀,活动障碍,或触及肿块,肿块呈进性增大,少数病人表现为病理骨折,本病的临床表现,病情的轻重,病程的发展在各例差较大,多和病变部位,病期与并发症有

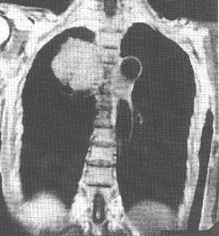
骨痛为最多见的临床表现,大部分的患者仅有骼系统的浸润而表现为单纯的骨痛,约1/3的病人有2处或2处以上的病变,1/3的病人只有1处病变,部分病人既表现为骨痛,同时又有局部软组织肿胀和疼痛,还有一小部分的病人先有局部软组织的改变,后才有骼的病变。

是病变最常见的部位,最多发的部位为股骨,髂,上颌肋骨,下颌等。

检查

原发性淋巴的实验室检查是影像检查,包括CT,MRI,核素扫描等,而其他检查一般无特殊变化,除非在疾病的晚期,肿的进一步的扩,或各种并发症造成液系统,骨髓象,神经系统等的改变。

1.X线检查

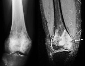
原发性淋巴的X线表现多为溶性,“虫噬样”改变,在正常组织和病变组织之间有明显的分界限,部分病人有皮质的破坏和缺损,但较少有膜反应,还有部分病人表现为分离,即组织的正常部分与病变部分分离,亦可表现为病理骨折

2.核素扫描

Te核素扫描可以发现病变区域密度降低,周边区域密度增高,Ga核素扫描显示与之相反,病变区域密度增高,而周边降低。

3.MRI

骼系统的病变为破性,溶性,部分溶和部分硬化性及皮质的改变等多种表现,MRI对于原发性淋巴的诊断敏感性较高,能发现其他检查阴性的原发性淋巴,同时,它能发现周围结缔组织的病变。

4.活检

对PLB的活检可以通过细针穿刺和手术活检两种法,因为人为的大量挤压破坏,造成细针穿刺较易失败,所以,前多采用手术活检,在手术活检前,医生应已怀疑PLB的诊断,以便明确活检的部位及数量,以避免盲手术活检,而造成手术的失败,须再次手术,加重病人的痛苦。

5.据临床表现,症状,体征可选择做电图,B超,血尿粪常规,生化及沉等检查。

诊断

本病的临床表现为非特异性,对于局部骨痛周围组织肿胀,或局部触及肿块,易发生病理骨折的患者,可怀疑本病。骼扫描阳性MRI显示占位性病变,在进骼活检前应考虑原发性淋巴的可能性以便采取足够的材料进病理检查确诊需要病理活检。但是手术活检会增大病理骨折的可能性。大部分原发性淋巴表现为IE期(60%)Ⅳ期(40%)。

鉴别

1.其他骼系统原发性肿肉瘤,尤文肉瘤骨瘤等,一般均有其特征性X线表现,如葱皮样改变等,但明确诊断均须病理活检。

2.转移性一般有原发性疾病,且病变多为多发性病灶,原发灶多为乳腺癌前列腺癌,肺癌等,鉴较易。

并发症

本病最常见的治疗并发症为骨折骨折可以是因为疾病本身,或放疗的副作用,化疗后管坏死等原因起。在一项研究中,32例病人接受化疗和放疗治疗,7例有骨折。但是,放疗的量(≥5000cGy)并没有增加骨折的发生率。   

治疗

(一)治疗   

前暂无特效治疗,要治疗法为化疗,放疗,化和放射联治疗。手术治疗对于原发性淋巴无明显疗效,前仅用于诊断,姑息治疗。   

放射治疗是指利用放射线对肿及周围组织照射以达到杀伤肿细胞,临床缓解的治疗法。前,多项研究表明,放疗对于原发性淋巴有一定的疗效。运用放疗治疗后,仅有单个骼病变的病人的5年生存率为58%,10年生存率为53%;多处骼病变的病人的5年和10年生存率分为42%、35%;并有软组织病变的5年和10年生存率为22%、13%。由此可见,MRI对于原发性淋巴的治疗效果的判断有一定的帮助。据多项实验表明,放疗的量,放疗的疗程安排对于原发性淋巴的疗效有一定的影响,如大量,多次放疗的临床缓解率略高。但是,临床多项实验研究显示,放疗后仍有较多患者复发,或有全身转移,缓解率仅50%左右。而化疗在全身性淋巴病人的广泛运用,使得部分者运用化疗治疗原发性淋巴,并也获得了一定的成功验。   

Bacci报道,对于30例PLB病人首先运用放疗,(3000~4500cGy)的量,在放疗后,26例病人进化疗(1~2个疗程的包括蒽环类的药物)。结果发现,4例仅进放疗的患者中,1例在8年后复发,26例中有3例复发,平均缓解率为88%,生存期为87个月。Susnerwala研究表明,27例患者中,25例病人运用化疗(18例为环磷酰胺、长春新碱、泼尼松(强的松),7例为前者再加用红霉素),大部分病人接受了6个疗程的化疗,持续约8~12个月,25例病人在化疗后,接受了放疗。在60个月的缓解率为56%。Fairbanks等报道63例患有原发性淋巴的病人中,50例接受放疗,10例接受化疗和放疗,2例接受化疗,1例接受手术治疗,结果为化疗和放疗的缓解率为90%,放疗为57%。

所以,部分者认为化疗和放疗的联治疗对于病人的缓解率高于单种治疗案。但是,这些临床研究的工作,都不是对PLB的专一性的治疗案的比较,所以,各项结果仅提供临床参考。尽管如此,局限性PLB的治疗效果较好,对于早期PLB的病人,运用蒽环类药物案的敏感性及长期生存率均较好。Tondini报道,对于1期和2期的中度和高度PLB,运用包含环磷酰胺。长春新碱、红霉素泼尼松(强的松)(CHOP)的化疗案,并在化疗后运用放疗,缓解率可达83%,5年无复发。化疗和放疗的联治疗的作用有待于进一步的研究。   

(二)预后   

原发性淋巴的预后要与淋巴组织类型,病变范围,年龄等因素有。有裂细胞性的预后较好,无裂细胞性、播性或多发性的预后最差。单发性病灶的预后较多发性,或伴有软组织的病变的PLB好。此外,年龄,乳酸氢酶,ECOG指数等均可对预后进一定的评价和估计。

附件列表


0

词条内容仅供参考,如果您需要解决具体问题
(尤其在法律、医学等领域),建议您咨询相关领域专业人士。

上一篇 金鸡尾

下一篇 金鸡纳树

同义词

暂无同义词