医学文档阁  > 所属分类  >  疾病百科   
[0]

传染性软疣

传染性软(molluscum contagiosum)是一种由传染性软病毒起的自身接种性病毒性皮肤病,其特点为在多发的半球状,蜡样光泽丘疹,中央呈脐窝状,可挤出乳状软小体。好发于儿童和青年人,俗称“水瘊子”。由传染性软病毒感染起,传染性软病毒属于痘病毒科中的一种DNA病毒,要通过直接接触感染,患者往往在公共室或游泳池中被感染,也可自体接种,还可通过性接触感染。本病系由传染性软......
目录

病因介绍

本病系由传染性软病毒(CMV)所致,属痘类病毒,呈砖,其直径为350 nm,在光镜下有时亦可见到,据电镜研究,病毒本身的成与胞质有密切系,胞质基质先浓缩,并出现嗜酸性颗粒,这些颗粒逐渐团聚,成与周围有明显界限的“大颗粒”——颗粒组型病毒(初期型病毒);继而发展成细颗粒膜型病毒(中期型病毒);最后变成砖,椭,往往在其中有哑铃状结构之成熟型病毒,整个胞质基质最后变成病毒包涵体(又称软小体),此小体最初为一个卵嗜伊红结构,对Brachet反应呈阳性,示RNA较多,不久Feulgen染色示DNA始出现阳性反应,随着体积迅速扩大,Feulgen反应也逐渐加强,而Brachet反应则逐渐减弱,这表明在早期RNA的量较多,而在晚期则DNA较多,中医认为系失和,腠理不密,复感外,凝集肤所致,传染性软是良性病毒性皮肤疾病,皮疹直径为2~4mm的有蜡样光泽的珠状丘疹端凹陷,能挤出乳状软小体。

预防措施

注意卫生,勤剪指甲,避免搔抓皮肤,不与患者共用衣物,对于预防该病有一定的作用。

并发症状

湿疹

常因自觉微痒,搔抓后并发感染或周围继发湿疹样损害。

常见症状

潜伏期1周至6个月,典型损害为受感染局部表皮细胞增生成的丘疹,直径2~8mm,单发或多发,或半球,有蜡样光泽,中脐凹状,并含有干样栓塞物,丘疹肉色红色,初期质地坚硬,成熟变软,可挤压出干样物,临床可分两个类型:

①儿童型:通过皮肤直接接触或传染媒介受感染,软见于面部,躯干及四肢。

②成人型:可为性传播,软多见于外生殖器、部、下部、耻部及大腿侧区、肛交者发生于肛门,Lynch报道55例这样的病例,是从越南和朝鲜回美国的军人,他们在该国曾有嫖娼史。

皮损可发生于除掌外的任何接触部位,也可出现于及颊粘膜、结膜等,结膜损害可伴有反应性结膜炎角膜炎,少数损害异常巨大,称为巨型软。有的可角化而像小的皮角,称为角化性软。一般无自觉症状

感染HIV的病例,传染性软的发病率增加,而且软广泛播和出现大的损害,有报道AIDS病人面部有巨大的软,易与基底细胞上皮混淆。此外,曾报道两例广泛的,急性的,数百个软的病人,有接受免疫抑制。强的松龙和氨甲喋呤台疗史,认为发病与其免疫抑制有

本病属自限性,一般持续数月至数年。

疾病检查

传染性软病毒的感染性病毒颗粒与抗原检测法:

1、直接检查病毒颗粒:

法1:涂染色:挤出乳样物,瑞特染色。结果:软小体(+)。

法2:电镜观察:活检标本。结果:软病毒(+)。

法3:检查组织病理。结果:具有诊断特征性。

2、直接检测病毒抗原:

法1:琼脂凝沉淀试验(AGP)。结果:(+)。

法2:补体结试验(CF)。结果:(+)。

法3:间接免疫荧光试验(IIF)。结果:(+)。

法4:中和试验(Nt)。结果:(+)。

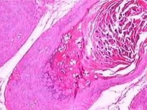
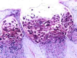
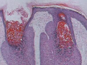
组织病理:病变要在表皮表皮高度增生而伸入真皮,其周围真皮结缔组织受压而成假包膜,并被分为多个状小,真皮乳头受压,而成为小间的异常狭窄的间隔,基底细胞大致正常,自棘层细胞起逐渐变性,在早期,感染细胞始有卵小体成,以后细胞体积逐渐增大,胞核固缩,最后整个胞质均为嗜酸性包涵体(软小体)所占据,在表皮中部,软小体已超过受累细胞原有的体积,细胞核被挤于一侧,固缩成新月,甚至完全消失,在粒层水平处,软小体自嗜酸性变成嗜碱性,角质层可有很多嗜碱性软小体,因并非所有棘细胞都有上述变性,故在细胞中间仍可见少数角化不良的细胞,在病变中央,变性细胞可落而成中央腔隙并与各状小相通,真皮无变化。

诊断鉴别

诊断

据本病的临床上有蜡样光泽的或半球丘疹,中央脐凹状,可挤出干样物与组织病理具有特征样,易于诊断,生殖器部位损害有性活跃年青者,应检查有地性病,较大皮损应与基底细胞癌角化棘皮

潜伏期2~3周,初起为帽针头至绿豆大小的半球状丘疹,表面呈蜡样光泽,中央脐窝状,为正常肤色,渐增大至豌豆大,挤之可排出白色状软小体, 儿童多见于面,躯干四肢(图1),成人全身各处均可发生,由性传播者见于外阴,部,小及大腿侧,也可出现于、颊黏膜、眼结膜等处,数多少不 等,在分布,相互不融,自觉瘙痒, 慢性病程,有自限性,持续数月可自退,多见于儿童及青年人,潜伏期为14天~6个月,初起为米粒大半球丘疹,以后逐渐增至豌豆大,中微凹或呈脐窝,表 面有蜡样光泽,早期质地坚韧,后逐渐变软,呈灰白色珍珠色,可挤出白色样物质,称为软小体,损害数不等,由数个至数十个,陆续出现,或少数 在,或数个簇集,互不融,体表各部位皆可发生,好发于躯干,四肢,肩阴囊和肛门等处,也可发生于,颊黏膜及结膜,皮疹部位因接触式不同而 异,一般无自觉症状,极少数病人其损害异常巨大称为巨型软,有的可角化而像小的皮角,称为角化性软,皮损偶然可自然消失,愈后不留瘢痕。

本病临床及组织均非常特殊,一般诊断不难。

中医病机:俗称水瘊子,中医的“乳”与本病相类似,《诸病源候论》乳候记述“乳者,身而忽生肉,如乳之状,谓之乳也”,中医认为此系失和,腠理不密,复感外,凝聚肤而致。

诊断

据本病的临床上有蜡样光泽的或半球丘疹,中央脐凹状,可挤出干样物与组织病理具有特征样,易于诊断,生殖器部位损害有性活跃年青者,应检查有地性病,较大皮损应与基底细胞癌角化棘皮

1.汗管:好发于女性眼睑周围,为针头至米粒大小的小结,密集,正常肤色或淡褐色,质坚硬,中无软小体,不传染。

2.丘疹荨麻疹:儿童常见的过敏皮肤病,初为纺锤状水肿红色丘疹,渐为坚硬小疱,端突起,无凹陷,无小体排出,剧痒

疾病治疗

传染性软(infectious condyloma)俗称“水瘊子”,是一种病毒性传染性皮肤病。本病的传染途径可有直接接触和间接接触,直接接触也包括了性接触的容,对于成人发生于阴部的传染性软多是由于性接触起的。故世界卫生组织将其列入性传播性疾病之中。传染性软可以发生于身体任何部位,儿童及非性接触感染的成人以颈、、面部、四肢、部多见,性接触传染者好发于生殖器部位、耻、大腿侧,同性恋者好发于肛周。好发于外生殖器、耻区、肛周、沟及胸部。

传染性软西医治疗

有报告对于免疫力正常的个体,传染性软是一种自FE性疾病,典型的单个损害多在2个月消退,如果不治疗整个病程通常可持续6―9个月,也有持续数年者。治疗传染性软便又有效的要是外科治疗或外用药物疗法。

(1) 钳除法:这是一种古老的而且至今仍最常使用的疗法。法是用小管钳夹住体后拔除,然后涂2%碘酊或碳酸或三氯酸并压迫止

(2) 冷冻或激光疗法:用冷冻疗法或激光疗法去除体。

(3) 化药物疗法

①10%氢氧化钾水溶液涂于皮损上,每日2次,至出现炎症征象或浅表溃疡时停用。

②苯酚,任万明用80%苯酚液治疗200例传染性软患者,法是先取80g结晶苯酚放人干净的三角瓶,加入lOOml馏水,然后加热使其充分 溶解后即可分装使用,治疗是采用棉签蘸上药液后对准皮损逐个点药,注意不要将药液点涂到正常皮肤上以免损伤皮肤,约半分钟后皮损上便出现一层白色薄膜、周 围略红肿。停药1-2天后,皮损处呈现黑褐色坏死结痂,10天左右痂愈。如仍有个损害未愈或新出皮损,可重复点药,直到完全治愈为止。若皮损广泛数 太多时,应分次治疗,以免药物吸收起不良反应。结果200例患者全部治愈,其中1次治愈者124例,占62%,2次治愈者49例,占24.5%,3次 以上治愈者27例,占13.5%。除21例在涂药后自觉有轻度烧灼样痛外,无1例发生其他不良反应。此外,可抗病毒药物或注射干扰素胞注射 液等。治疗过程中要注意患者衣物等用品隔离消毒直到感染消除。

(一)治疗

本病以外用治疗为。皮疹多者可选用抗病毒药

1.外用治疗要去除软小体,可在无菌下用毛镊子将软小体挤出,用3%~5%碘酊滴入,或外用0.5%酞丁安。数多者可分次分批剔除。

2.将损害中的软小体用小镊子夹住,将之挤出或挑除,然后点入浓苯酚或33%三氯酸液,并压迫止。如果体较小,且泛发者,可外涂10%碘酊或聚维酮碘,每天2~3次。

避免搔抓,以免扩传染,注意个人卫生,不共用巾,水消毒。

预后

传染性软是良性病毒性皮肤疾病。皮损偶然可自然消失,愈后不留瘢痕。

传染性软中医治疗

中医诊疗(中药治疗传染性软以平解毒为,可用去汤加减,同时用大青野菊花、白藓皮等适量水外洗﹞。

(以上提供资料及其容仅供参考,详细需要咨询医生。)

护理介绍

摄入一些高纤维素以及新鲜的蔬菜和水果,养均衡,包括蛋白质、糖、脂肪、维生素、微量元素和膳食纤维等必需的养素,荤素搭配。

饮食保健

传染性软食疗(以下资料仅供参考,详细情况询问医生)

薏苡仁粥:取新产薏苡仁50g,择去杂质,淘洗干净,加水适量,用武沸后,改文熟成粥,调入白糖少许,空顿服。每日1次,10次为1疗程,共2疗程,治扁平。   

苡仁绿豆粥:取薏苡仁、绿豆各30g,择净,洗去泥土,放入砂锅,加清水适量,用武沸后,改文至熟烂成粥,加入少许白糖调味,于早晨空顿服。每日1,15天为1疗程,治扁平。 

凉拌蒲公英:取鲜蒲公英300g,洗净,用水烫后,放入香油、味、细盐,凉拌食用。每天1次,治扁平。  

香附鸡蛋:取制香附200g,研为细末,分装成15份备用。鸡蛋1枚,打碎,与1份香附搅匀;取生油15mL,放锅烧热后,放入拌匀的香附鸡蛋,熟后,放入10ML米,趁热吃下。每天1次,连服15天为1疗程,治扁平。  

红花:取红花9-10g,以沸水冲饮,冲至色淡后弃之。每日1,连用10天为1疗程,共4疗程,治扁平

附件列表


0

词条内容仅供参考,如果您需要解决具体问题
(尤其在法律、医学等领域),建议您咨询相关领域专业人士。

同义词

暂无同义词