传染性单核细胞增多

概述
传染性单核细胞增多症(infectious mononucleosis)是一种急性的单核-巨噬细胞系统增生性疾病,病程常具自限性。临床上表现为不规则发热、淋巴结肿大、咽痛、周围血液单核细胞显著增多,并出现异常淋巴细胞、嗜异性凝集试验阳性,血清中可测得抗EB病毒的抗体等。在青年与成年发生的EB病毒原发性感染者,约有半数表现为传染性单核细胞增多症。非洲儿童的Burkittis淋巴瘤(BL和鼻咽癌仅发生在曾感染过EB病毒的患者,且在BL和鼻咽癌的肿瘤细胞中均带有EB病毒的DNA以及病毒决定的核抗原,故认为EB病毒可能是BL和鼻咽癌的重要致病因素。
病因
传染性单核细胞增多症(infectiousmononucleosis)是由EB病毒(Epstein-Barrvirus,EBV)感染所致的急性传染病。
EBV是一种嗜淋巴细胞的DNA病毒,属疱疹病毒属,主要侵入B淋巴细胞(B淋巴细胞表面有C3a受体,与EBV受体相同)。EBV有5种抗原成分,均能产生各自相应的抗体:
①衣壳抗原(VCA):VCAIgM抗体早期出现,多在1—2个月后消失,是新近受EBV感染的标志。VCAIgG出现稍迟于前者,但可持续多年或终生,故不能区别新近感染与既往感染。

②早期抗原(EA):可再分弥散成分D和局限成分R,是EBV进人增殖性周期初期形成的一种抗原,其中EA—D成分只有EBV特异的DNA多聚酶活性。EAIgG抗体是近期感染或EBV活跃增殖的标志。该抗体于病后3—4周达高峰,持续3—6个月。
③核心抗原(EBNA):EBNAIgG于病后3—4周出现,持续终生,是既往感染的标志。
④淋巴细胞决定的膜抗原(LYDMA):为补体结合抗体,出现和持续时间与EBNAIgG相同,也是既往感染的标志。
⑤膜抗原(MA):是中和性抗原,可产生相应中和抗体,其出现和持续时间与EBNAIgG相同。
本病世界各地均有发生,多呈散发性,也可引起小流行。一年四季均可发病,以晚秋至初春为多。患者和EBV携带者为传染源。病毒大量存在于唾液腺及唾液中,可持续或间断排毒达数周、数月甚至数年之久。传播途径主要经口密切接触而传播(口一口传播),飞沫传播虽有可能,但并不重要。偶可经输血及粪便传播,关干宫内传播问题尚有争议。本病多见于儿童及青少年,性别差异不大,6岁以下儿童多呈隐性或轻型感染,15岁以上感染后多出现典型症状。发病后可获得持久免疫力,第二次发病罕见。
症状诊断
临床表现
潜伏期5~15日不等,多数为10日。起病急、缓不一,近半数有前驱症状,其主要症状有:
(一)发热除极轻型病例外,均有发热,体温自38.5~40℃不等,可呈弛张、不规则或稽留型,热程自数日至数周。病程早期可有相对缓脉。
(二)淋巴结肿大60%的患者有浅表淋巴结肿大。全身淋巴结皆可被累及,以颈淋巴结最为常见,腋下、腹股沟次之,胸廓、纵隔、肠系膜淋巴结偶亦可累及。直径1~4cm,呈中等硬度,分散而不粘连,无明显压痛,不化脓,两侧不对称。肿大淋巴结消退余缓,通常在3周之内,偶可持续较长的时间。
(三)咽峡炎约半数患者有咽、悬雍垂、扁桃体等充血、水肿或肿大,少数有溃疡或假膜形成。患者每有咽痛,腭部可见小出血点,齿龈也可肿胀,并有溃疡。喉及气管阻塞罕见。
(四)肝脾肿大约10%病例有肝肿大,肝功能异常者可达2/3,约5%~15%出现黄疸。几乎所有病例均有脾肿大,大多仅在肋缘下2~3cm,偶可发生脾破裂。
(五)皮疹约10%的病例出现皮疹,呈多形性,有斑丘疹、猩红热样皮疹、结节性红斑、荨麻疹等,偶呈出血性。多见于躯干部,较少波及肢体,常在起病后1~2周内出现,3~7天消退,不留痕迹,未见脱屑。比较典型者为粘膜疹,表现为多发性针尖样瘀点,见于软、硬腭的交界处。
(六)神经系统症状神经系统极少被累及,表现为急性无菌性脑膜炎、脑膜脑炎、脑干脑炎、周围神经炎等,临床上可出现相应的症状。脑脊液中可有中等度蛋白质和淋巴细胞增多,并可见异常淋巴细胞。预后大多良好,病情重危者痊愈后也多不留后遗症。
本病的病程自数日至6个月不等,但多数为1~3周,偶有复发,复发时病程较短,病情也轻。少数病例的病程可迁延数月,甚至数年之久,称之为慢性活动性EB病毒感染。
诊断
散发病例易被忽视,诊断以临床症状、典型血象以及阳性嗜异性凝集试验为主要依据,尤以后二者较为重要,当出现流行时,流行病学资料有重大参考价值。
在开展血清学检查有困难时,根据血象结合临床也可作出诊断。临床表现虽以高热、咽峡炎、颈淋巴结肿大等比较常见,但并非必有。血清谷丙转氨酶在病程中大多升高,即使无黄疸者亦然,值得重视。典型血象及嗜异性凝集试验在病程的第2天即有改变或呈阳性,但显著变化一般见于第1~2周间,嗜异性凝集试验甚或在数月后始升达有意义的水平,故必须强调多次重复检查的重要性,1~2次阴性结果不能否定诊断。
本病分布广泛,多呈散发性,亦可引起流行。病毒携带者和病人是本病的传染源。经口密切接触为主要传播途径,飞沫传播虽有可能,但并不重要。发病以15~30岁的年龄组为多,6岁以下多呈不显性感染。全年均有发病,似以晚秋初冬为多。一次得病后可获较持久的免疫力。
检查
(一)血象

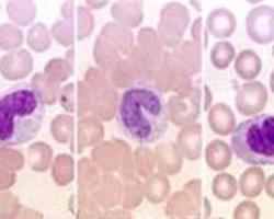
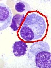
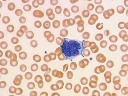
病初起时白细胞计数可以正常。发病后10~12天白细胞总数常有升高,高者可达3万~6万/mm3,第3周恢复正常。在发病的第1~21天可出现异常淋巴细胞(10%~20%或更多),依其细胞形态可分为泡沫型、不规则型、幼稚型等三型。这种异常细胞可能起源于T细胞,亦可见于其他病毒性疾病,如病毒性肝炎、流行性出血热、水痘、腮腺炎等,但其百分比一般低于10%。血小板计数可减少,极个别患者有粒细胞缺乏或淋巴细胞减少,可能与人体异常免疫反应有关。
(二)骨髓象
缺乏诊断意义,但可除外其他疾病如血液病等。可有异常淋巴细胞出现(有认为可能为周围血液稀释所致)。中性粒细胞核左移,网状细胞可能增生。
(三)嗜异性凝集试验
嗜异性凝集试验的阳性率达80%~90%,其原理是病人血清中常含有属于IgM啫异性抗体,可和绵羊红细胞或马红细胞凝集。抗体在体内持续的时间平均为2~5个月。较晚出现啫异性抗体者常常恢复较慢。少数病例(约10%)的嗜异性凝集试验始终阴性,大多属轻型,尤以儿童患者为多。
正常人、血清病患者以及少数患淋巴网状细胞瘤、单核细胞白血病、结核病等患者,其嗜异性凝集试验也可呈阳性结果(除血清病外,抗体效价均较低),但可用豚鼠肾和牛红细胞吸收试验加以鉴别。正常人和上述各种患者(血清病患者除外),血中嗜异性抗体可被豚鼠肾完全吸收或被牛红细胞部分吸收,而本病患者血中嗜异性抗体可被豚鼠肾部分吸收和牛红细胞完全吸收,而血清病患者血中抗体可被两者完全吸收。嗜异性凝集素效价从1∶50~1∶224均具有临床价值,一般认为其效价在1∶80以上具诊断价值。若逐周测定效价上升4倍以上,则意义更大。近年来采用玻片凝集法,用马红细胞代替绵羊红细胞,出结果较试管法快,比较灵敏。
(四)EB病毒抗体测定
人体受EB病毒感染后,可以产生膜壳抗体、抗膜抗体、早期抗体、中和抗体、补体结合抗体、病毒相关核抗体等,各种抗体出现的时间与意义详见表1。
(五)其他
EB病毒培养很少用于临床。测定血清中牛红细胞溶血素具诊断价值(效价在1∶400以上)。本病急性期尚可测到自身抗体,如抗i抗体(抗原i仅有于胎儿细胞内)、抗核抗体等。抗i冷凝集效价高时可致自身溶血性贫血。
EB病毒IgM型膜壳抗体出现临床症状时,阳性率为100,持续时间为4~8周,此种EB病毒抗体灵敏性与特异性高但操作困难.IgG型膜壳抗体出现临床症状时,阳性率为100,持续时间为终身,此种EB病毒抗体滴定较高可终身存在宜用于流行病学调查。
早期抗体抗-D出现时间为发病后3~4周达高峰,阳性率为70,持续时间为3~6个月,此种EB病毒抗体与病情严重有关在鼻咽癌患者中可测到.早期抗体抗-R出现时间为发病后2周~数月,阳性率低,持续时间为2个月至>3年,早期抗体抗-R见于Burkitt淋巴瘤.核抗体出现时间为发病后3~4周,阳性率为100,持续时间终身,核抗体较迟现有助于嗜异性抗体阴性病例的诊断.补体结合抗体出现时间为发病后3~4周,阳性率为100,持续时间为终身,补体结合抗体较迟出现有助于嗜异性抗体阴性病例的诊断.中和抗体出现时间为发病后3~4周,阳性率为100,持续时间为终身,中和抗体技术上难度高.
鉴别诊断
巨细胞病毒病的临床表现酷似本病,该病肝、脾肿大是由于病毒对靶器官细胞的作用所致,传染性单核细胞增多症则与淋巴细胞增殖有关。巨细胞病毒病中咽痛和颈淋巴结肿大较少见,血清中无嗜异性凝集素及EB病毒抗体,确诊有赖于病毒分离及特异性抗体测定。本病也需与急性淋巴细胞性白血病相鉴别,骨髓细胞学检查有确诊价值。儿童中本病尚需与急性感染性淋巴细胞增多症鉴别,后者多见于幼儿,大多有上呼吸道症状,淋巴结肿大少见,无脾肿大;白细胞总数增多,主要为成熟淋巴细胞,异常血象可维持4~5周;嗜异性凝集试验阴性,血清中无EB病毒抗体出现。此外本病尚应与甲型病毒性肝炎和链球菌所致的渗出性扁桃体炎鉴别。
并发症
治疗
本病的治疗为对症性,疾病大多能自愈。急性期特别是并发肝炎时应卧床休息。抗生素对本病无效,仅在咽部、扁桃体继发细菌感染时可加选用,一般以采用青霉素G为妥,疗程7~10天。若给予氨苄青霉素,约95%患者可出现皮疹,通常在给药后1周或停药后发生,可能与本病的免疫异常有关,故氨苄青霉素在本病中不宜使用。有认为甲硝唑及氯林可霉素对本病咽峡炎症可能有助,提示合并厌氧菌感染的可能,但氯林可霉素亦可导致皮疹。肾上腺皮质激素对咽部及喉头有严重病变或水肿者有应用指征,可使炎症迅速消退,及时应用尚可避免气管切开。激素也可应用于有中枢神经系统并发症、血小板减少性紫癜、溶血性贫血、心肌炎、心包炎等。
应随时警惕脾破裂发生的可能,及时确诊,迅速补充血容量,输血和进行脾切除,常可使患者获救。
阿昔洛韦(acyclovir)及其衍生物在体外试验中有拮抗EB病毒的作用,但此类药物不必常规地应用于一般的传染性单核细胞增多症患者,惟有伴口腔毛白斑病的爱滋病者以及有充分证据说明是慢性进行性EB病毒感染者可考虑应用此类制剂。干扰素的疗效不明了。
附件列表
词条内容仅供参考,如果您需要解决具体问题
(尤其在法律、医学等领域),建议您咨询相关领域专业人士。
上一篇 赤游丹
下一篇 出血败血性巴斯德菌感染