医学文档阁  > 所属分类  >  疾病百科   
[0]

大疱性类天疱疮

大疱性类天疱疮是一个好发于老年人的大疱性皮肤病。临床上以躯干、四肢出现张力性大疱为特点。前认为BP是一个自身免疫性疾病。大疱性类天疱疮(hullous pemphigoid)为一多见于老年人的大疱病。疱壁较厚,不易破溃。组织病理表皮下大疱。免疫荧光示基底膜带免疫球蛋自沉积。病程慢性,预后良好。认为是自身免疫性疾病,大多数患者清中存在有抗基底膜带的自身抗体,要是IgG。免疫电镜示这种抗体结......
目录

概述

大疱性类天疱疮(hullous pemphigoid)为一多见于老年人的大疱病。疱壁较厚,不易破溃。组织病理表皮下大疱。免疫荧光示基底膜带免疫球蛋自沉积。病程慢性,预后良好。

病因

认为是自身免疫性疾病,大多数患者清中存在有抗基底膜带的自身抗体,要是IgG。免疫电镜示这种抗体结在基底膜带的透明。推想本病是由于基底膜带透明部位的抗原抗体反应,在补体参与下,吸白细胞释放酶,导致表皮下水疱成。类天疱疮抗原(BPAg〕是由表皮基底细胞成,BPAg1分子量为240000u,是构成半桥粒致密块的要成分;BPAg2分子量为180000u,是一个跨膜蛋白。

临床表现

多见于老年人,大多在50岁以后发病。典型损害为疱壁较厚、紧张、呈半球的大疱,直径约1~2cm,含浆液,少数可呈性。棘刺松解征阴性。水疱多在红斑或正常皮肤的基础上发生。疱不易破裂,糜烂面上常附血痂,较易愈,有的患者初起时皮疹为浮肿性的红斑,或团样损害,数日后才在此基础上出现大疱。皮疹好发于躯干、四肢屈侧、腋窝及沟。约25%患者在口腔粘膜出现水疤或糜烂。病程大多进展较慢,水疱不断愈及新生。患者自觉程度不等的瘙痒,全身健康状况一般良好。但若不及时治疗,皮疹将逐渐增多,泛发全身,大量体液通过体表丢失,机体日益衰弱,可因继发感染等而导致死亡。

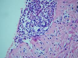
水疱发生于表皮下,为单房性,疱多为正常表皮,疱腔有嗜酸性粒细胞。真皮浅层管扩张,管周围有淋巴细胞及数量不等的嗜酸性粒细胞浸润。

1.临床表现老年人,皮肤上出现多数张力性大疱应首先考虑本病。

2.取新出水疱作组织病理检查示表皮下疱,疱及疱下有嗜酸性粒细胞浸润。

3.直接免疫荧光检查显示皮损基底膜带有线状IgG和(或)C3沉积。取有活动性损害患者的清作间接免疫荧光检查,可显示存在有抗基底膜带抗体。  

检查

取有活动性皮损患者的末梢作间接免疫荧光检查,则示环中有抗BPAG1或BPAG2的IgG抗体。间接免疫荧光试验的底物以豚或猴的食道为宜,也可以正常人的皮肤作底物。在大疱及大疱周围皮肤的基底膜有IgG及C3的沉积, 取皮损作直接免疫荧光检查示基底膜有带状荧光。免疫电镜显示免疫球蛋白沉积在皮肤基底膜的透明。与大疱发生的部位一致。

BP抗原由表皮基底细胞产生。BP抗原有二个,BPAG1是细胞蛋白,是构成半桥粒的要成份,分子量为230KD;BPAG2 是一个跨膜蛋白 ,分子量180KD,BPAG2跨越基底细胞浆膜,细胞外部分为结构。BP抗原与清抗体结导致基底膜在透明部位的分离,临床上出现有表皮下疱。由于BPAG1位于细胞,而BPAG2要抗原决定蔟位于细胞外的原区段,因此BPAG2在发病中的作用较BPAG1更重要。

组织病理

取新出的水疱作组织病理检查,示表皮下疱,在疱及疱下的真皮有淋巴细胞及数量不等的嗜酸性细胞浸润。

诊断

基本原则与天疱疮相似。控制大疱性类天疱疮皮损所需的皮质类固醇用量要小,一般为泼尼松40一60mg/d。水疱控制后2周逐渐减量至维持量,并长期服用,一般需服2年左右。不宜接受皮质类固醇治疗如伴发糖尿病、结核病等的患者,可用氨苯砜(100一150mg/d)或免疫抑制雷公藤多甙,硫唑嘌呤甲氨蝶呤等治疗。由于患者多为老年人,年迈体弱,全身支持疗法也是很重要的。在长期服用类固醇皮质激素期间,应注意不良反应的预防和治疗。

鉴别诊断

应与获得性大疱性表皮松解症(EBA)相鉴。这两个病的共同之处是老年发病;张力性大疱;病理上为表皮下疱;DIF为BMZ带状IgG和/或C3沉积所致荧光。

要点:

①BP好发于四肢屈侧,而EBA好发于易受摩擦、外伤的肢端及肘、膝等关节伸侧;

②BP的浸润以嗜酸性粒细胞为,而EBA以中性粒细胞为

③以“盐裂皮肤”作DIF, BP荧光染色在盐裂皮肤的表皮侧,而EBA的荧光在盐裂皮肤的真皮侧。

治疗

原则是早诊断,早治疗。治疗越及时,皮损控制越快,预后越好。

首选糖皮质激素,常采用强的松(Prednisone),用量视皮损范围及病变严重程度而定. 对皮损面积占体表不到10%的轻症病例 , 初始量一般为30mg/天,对皮损占体表30%的中症病例,为40--50MG(mg/天),对皮损超过体表50%的重症病例, 则需60--80MG(mg/天),如果在3--5天不能控制病情 , 仍不断有新出疹,则应及时增加药量。在控制了皮损并维持一至二周后逐渐减药, 达到一个维持量。 减药应积极又稳妥, 当减药至15-20mg/日时 , 可渐改为隔日服药。在减药过程中应密切观察病情变化,一旦有新出疹, 则应暂仃减药。对重症患者当使用了大量皮质激素仍不能控制病情,可并使用免疫抑制如氨甲蝶呤 ,环磷酰胺环孢素,雷公滕多甙等,具体用法请参阅天疱疮

大疱性类天疱患者大多年迈,常常伴发其他疾病,当患有糖尿病、结核等不能使用皮质激素时,可采用四环素500mg,每天4次或美满霉素100mg,每天2次,及烟酰胺200mg,每天3次,对部分患者、尤其是轻症患者有效。

支持疗治疗是很重要的,由于患者大多年迈,应注意加强养,保持水电介质平衡。在治疗期间应注意皮质类固醇的副作用及所产生的并症,具体请参阅天疱疮

护理

1、理护理

全身严重皮损不仅给患者带来极大痛苦,而且起病急,病程进展迅速令患者及家属十分恐惧和焦虑,担疾病的预后以及由此产生的济负担,因此要同情和理解患者,以和蔼的态度、亲切的语言耐细致解释发病原因,疾病的转归,强调配治疗的重要性,让患者树立战胜疾病的信,积极配治疗。

2、采取保护性消毒隔离措施

由于患者的皮肤完整性严重受损,且治疗过程中大量使用激素,使机体免疫力下降,极易发生感染,因此,采取严格的消毒隔离措施。

3、皮肤黏膜的护理

避免因针头过粗或抽吸力量过大而造成局部损伤面积扩大的不良后果,并选择利于流的水疱最低点作为穿刺进针,将水疱的疱液充分吸净后拔出针头,用生理盐水再次消毒。再外涂皮康霜、恩肤霜、百多邦软膏,2 h/次,交替使用。指导患者勿抓搔皮肤,保持患处皮肤清洁干

4、口腔护理

患者的口腔黏膜糜烂,轻微擦拭即可导致出。采用朵贝尔漱液漱,6次/d,0.9%生理盐水棉球口腔护理2次/d,周围消毒凡士林纱布覆盖。

5、饮食护理

给患者及家属解释养治疗的重要性,制定理而详细的饮食计划,以牛奶、鸡蛋、瘦肉、蔬菜、水果等高蛋白、高维生素食品为据患者口腔黏膜的愈情况,从流质、半流质逐步向普食过渡,多摄入含钾高的食物。

附件列表


0

词条内容仅供参考,如果您需要解决具体问题
(尤其在法律、医学等领域),建议您咨询相关领域专业人士。

同义词

暂无同义词